Facebook
Via Virgilio, 13 - Cantù CO
+39 031 716134
i nostri orari
Home
Studio
Chi siamo
La struttura
Tecnologie odontoiatriche
Affidabilità, Igiene e Sicurezza
Agevolazioni e Convenzioni Odontoiatriche
Team
Terapie
Terapie bambini
Terapie adulti
News
Casi clinici
Dicono di noi
Contatti
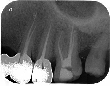
Casi clinici
Devitalizzazione
Caso eseguito dal
Dr. Luca Schiavio
Polispecialistico Meroni
lun-ven 8:30-20:00 - gio 8:30–15:00
Polispecialistico Meroni
Benvenuto, come possiamo aiutarti?
Hai domande?
Contattaci!